Composite Fillings

Home > Composite Fillings

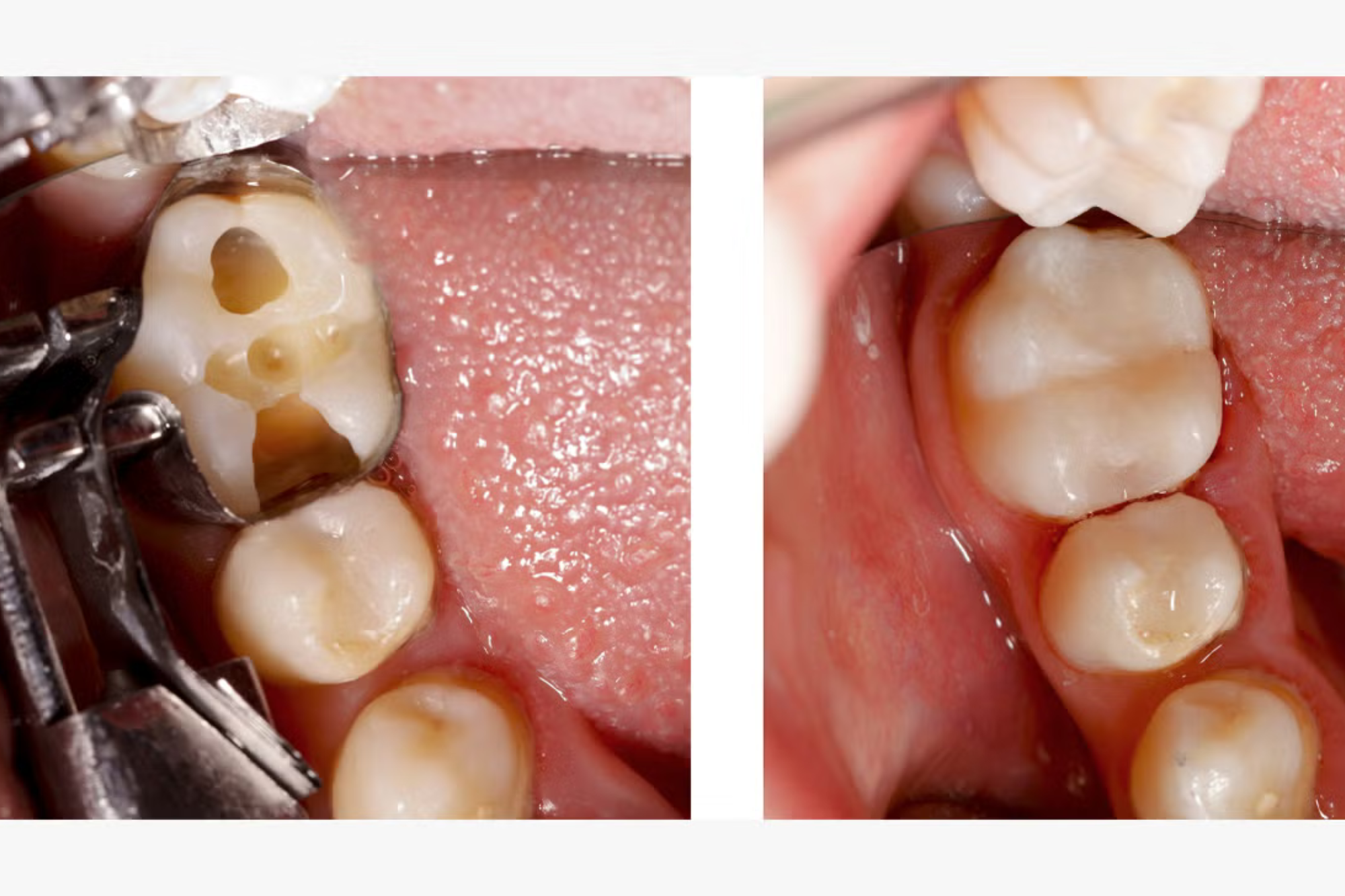
Composite Fillings

Natural-Looking Repairs for Damaged or Decayed Teeth

Small cavities or chips may seem minor, but if left untreated, they can grow into serious dental problems requiring more invasive and costly procedures later on.

Traditional silver fillings often stand out, affecting your smile’s appearance. But now, there’s a better way to restore teeth without compromising aesthetics.

At JH Dental Associates, we offer tooth-colored composite fillings in Lahore that blend seamlessly with your natural teeth. These fillings repair damage, seal cavities, and maintain the strength and beauty of your smile — all in a single, quick visit.

What Are Composite Fillings?

Composite fillings are tooth-colored restorations made from a durable resin material that bonds tightly to the tooth. They’re ideal for:

  • Repairing cavities (small to medium)

  • Fixing chipped or worn teeth

  • Replacing old metal/amalgam fillings

  • Reshaping uneven or discolored areas

They offer strength, aesthetics, and long-lasting protection, with minimal tooth preparation.

Why Choose JH Dental for Composite Fillings?

  • Aesthetic restorations matched to your natural tooth shade

  • Mercury-free, biocompatible materials

  • Quick, same-day treatment

  • Painless procedure with modern techniques

  • Precise bonding for long-term durability

Frequently Asked Questions

Scaling & Polishing

 No, it’s usually a comfortable procedure. Some may feel mild sensitivity, especially if there's gum inflammation, but it goes away quickly.

 It removes surface stains caused by tea, coffee, smoking, etc., but it's not a substitute for professional whitening.

Ready to Experience Expert Dental Care?

Book Your Free Checkup.

Experience expert care in a calm, friendly setting with no pressure, just honest guidance.